

Seja bem vinda(o) à Plasteli Clinic. Aqui você irá encontrar confiança para um sorriso saudável e bem-estar bucal.
Seja para cuidados preventivos, tratamentos estéticos, reabilitação oral ou odontologia especializada, a Letícia Castanheira oferece um atendimento humanizado, com tecnologia de ponta e soluções personalizadas para cada paciente.
12 anos de experiência em Odontologia
Altos índices de satisfação e resultados comprovados
Especialista em implantes dentários e lentes!
Tratamentos modernos para um sorriso mais bonito e saudável
Especialidades para o seu sorriso
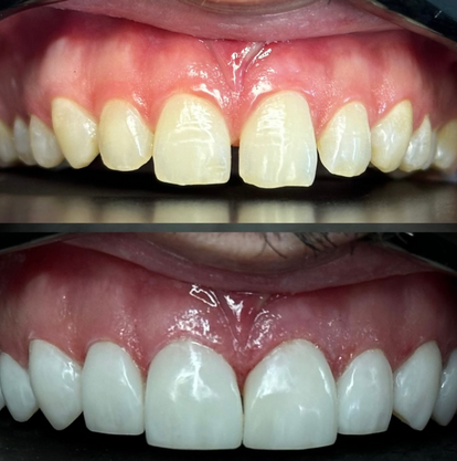
Odontologia estética
Realce a beleza do seu sorriso com clareamento dental, facetas e lentes de contato exclusivas.
Implantes Dentários
Recupere a funcionalidade, a confiança e o sorriso com implantes modernos, seguros e duradouros.
Harmonização Facial
Redefina sua beleza e juventude com tratamentos de rejuvenescimento, botox e preenchimentos.
Uma clínica feita para você!
Há mais de 15 anos, transformamos sorrisos com dedicação e excelência.
Nossa equipe especializada oferece tratamentos ortodônticos e estéticos modernos, planejados com atenção aos detalhes.
Com foco no seu conforto e bem-estar, utilizamos técnicas avançadas para garantir resultados que devolvam a confiança de um sorriso saudável.





Sobre mim
Letícia Castanheira
Desde pequena, sempre fui fascinada pelo poder de um sorriso. Acredito que ele transmite confiança, alegria e bem-estar. Foi essa paixão que me levou à Odontologia, uma profissão que exerço com dedicação, estudo contínuo e amor pelo cuidado com as pessoas.
Sou graduada pela UNIRP, Centro Universitário de São José do Rio Preto, e me especializei em Implante Dental e Estética Dental e Harmonização Facial. Estou sempre em busca de atualização e conhecimento para proporcionar o melhor atendimento e cuidados aos meus pacientes.
Meu compromisso é oferecer tratamentos modernos, eficazes e personalizados, sempre prezando pelo conforto e segurança dos meus pacientes.
Além da técnica e do conhecimento, valorizo o atendimento humanizado, acolhendo cada pessoa com empatia e atenção aos detalhes. Meu objetivo vai muito além da estética: quero devolver a você a confiança para sorrir sem medo, com saúde e qualidade de vida.









